Prótese de Quadril ou Artroplastia de Quadril
A cirurgia de reconstrução do quadril como conhecemos hoje iniciou por volta de 1800, embora existam relatos anteriores propondo os mais diversos tratamentos. Schmaltz em 1817 e White em 1821 relataram casos de ressecção artroplástica do quadril para o tratamento de tuberculose em crianças (4). A técnica também é conhecida como cirurgia de Girdlestone, que relatou o procedimento em detalhes em 1943 (5). Posteriormente diversos autores sugeriram a substituição da artroplastia resseccional simples pela interposicional. A proposta agora era interpor substâncias entre as superfícies ressecadas, podendo estas serem cápsula articular, músculo, tecido adiposo, fáscia lata e pele (4). Como a nova técnica não produzia resultados duradouros, Smith-Petersen na década de 1940 desenvolveu a artroplastia interposicional do quadril com uma taça feita em Vitálio (liga fundida de cobalto-cromo-molibdênio) (4,6,7). A partir deste momento, diversos autores propuseram os mais variados tipos de endopróteses. Entretanto, foram os implantes de Thompson e de Austin-Moore que se tornaram reconhecidos (Fig. 1A) havendo variações ainda hoje (Fig. 1B). Neste meio-tempo, surgiram os implantes de metal sobre metal desenvolvidos por Urist (8), Ring (9,10) e McKee-Farrar (11) (Fig. 1C). Nesta época, observou-se resultados pouco satisfatórios, pois o atrito e o desgaste do material resultavam em uma incidência inaceitavelmente alta de afrouxamento e dor (4,7).
Apesar destes implantes terem proporcionado uma melhora da função, nenhuma destas hemiartroplastias promoveu o alívio da dor por tempo prolongado, buscado pelos pacientes com articulações artrósicas. Então, desenvolveu-se as substituições articulares totais de quadril (4,7). Em 1958, Sir John Charnley iniciou o desenvolvimento de uma prótese que consistia em uma haste com cabeça femoral metálica que se articulava com um componente acetabular de polietileno, ambos fixados com cimento ósseo de polimetilmetacrilato (12,13,14) (Fig. 1D). Os aperfeiçoamentos do modelo, dos materiais e das técnicas cirúrgicas evoluíram muito até os dias de hoje, porém muitos dos conceitos básicos de Charnley continuam válidos (4,7).
Na década de 70 observou-se que os problemas associados com a artroplastia total de quadril cimentada estavam relacionados com o afrouxamento asséptico dos componentes. Iniciou-se uma corrida pela mudança do design dos componentes que pudessem propiciar resultados mais duradouros. Charnley em 1975 estudou histologicamente a membrana da interface cimento-osso e observou que esta possuía um grande número de células gigantes do tipo corpo estranho e histiócitos com acrílico no interior de seu citoplasma (14). Goldring et al. em 1983 observaram que nesta mesma membrana, havia um grande número de macrófagos e de células semelhantes às da membrana sinovial da artrite reumatóide. Estas membranas apresentam uma grande capacidade de produzir prostaglandinas E2 e colagenases protagonistas da gênese de lise óssea. O autor considerou o cimento como causador definitivo do afrouxamento e denominou a “doença do cimento” (15).
Nesta época iniciou-se a procura de uma fixação mais adequada e duradoura sem o uso de metilmetacrilato. Apesar de Sivash (16), Ring (9,10) e Mittelmeier (17) já utilizarem as próteses sem cimento, a idéia de “fixação biológica”, em que a fixação da prótese é obtida pelo crescimento ósseo para o interior das porosidades dos componentes metálicos (4,7), iniciou-se quando Bobyn et al., em 1980, relacionaram o tamanho das porosidades com a capacidade óssea de crescimento (18). O crescimento ósseo e a fixação ocorrem para uma faixa de porosidade entre 50 e 400 micrometros, com máxima eficácia entre 100 a 400 micrometros. Para outros tamanhos, ocorre crescimento de tecido fibroso. O revestimento poroso pode ser obtido por malhas, porosidades do próprio material, pó metálico incrustado ou hidroxiapatita. A era das próteses não-cimentadas estava surgindo (4,7,19).
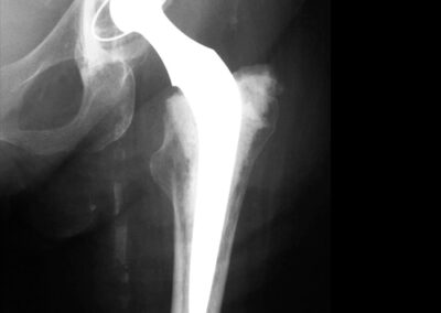
Exemplos de artroplastia cimentada e não-cimentada podem ser vistos na Fig. 2, através das radiografias. A figura ainda mostra exemplos radiográficos de artroplastias híbrida (haste femoral cimentada e componente acetabular não-cimentado) e híbrida-reversa (haste femoral não-cimentada e componente acetabular cimentado). O sucesso da artroplastia total de quadril depende basicamente de três fatores críticos: escolha do paciente, do implante e da técnica cirúrgica. Provavelmente, o determinante isolado mais importante seja a escolha apropriada do paciente. A escolha de um paciente inadequado pode comprometer o design mais avançado ou mesmo o cirurgião mais experiente (1,2,7).
Referências
- Huo MH, Stockton KG, Mont MA, Parvizi J. What’s new in total hip arthroplasty. J Bone Joint Surg Am 2010;92:2959-72.
- Schwartsmann CR, Boschin LC. O quadril adulto. In: Herbert S, Barros Filho TEP, Xavier R, Pardini Jr AG, Eds. Ortopedia e traumatologia: princípios e prática. 4ed. Porto Alegre: Artmed; 2009.
- Instituto Brasileiro de Geografia e Estatística - IBGE. Projeção da população brasileira por sexo e por idade. Disponível na Internet: http://www.ibge.gov.br. 2015.
- Harkess JW, Daniels AU. Introdução e visão geral. In: Canale ST. Cirurgia Ortopédica de Campbell. 10ed. Rio de Janeiro: Manole/ SBOT; 2006. p. 223-42.
- Girdlestone GR. Acute pyogenic arthritis of the hip: an operation giving free access and effective drainage. Lancet 1943;241:419-21.
- Smith-Petersen MN, Larson CB, et al. Complications of old fractures of the neck of the femur: results of treatment of vitallium-mold arthroplasty. J Bone Joint Surg Am 1947;29(1):41-8.
- Harkess JW, Crockarell. Arthroplasty of the hip. In: Canale ST, Beaty JH, Eds. Campbell`s operative orthopaedics. 11th ed. Philadelphia, USA: Mosby/ Elsevier; 2007. p. 314-482.
- Urist MR. The repair of articular surfaces following arthroplasty of the hip. Clin Orthop 1958;12:209-29.
- Ring PA. Five to fourteen year interim results of uncemented total hip arthroplasty. Clin Orthop Relat Res 1978;137:87-95.
- Ring PA. Ring UPM total hip arthroplasty. Clin Orthop Relat Res 1983;176:115-23.
- McKee GK, Watson-Farrar J. Replacement of arthritic hips by the McKee-Farrar prosthesis. J Bone Joint Surg Br 1966;48(2):245-59.
- Charnley J. Arthroplasty of the hip: a new operation. Lancet 1969;1:1129.
- Charnley J. Low friction arthroplasty of the hip: theory and practice. New York: Springer-Verlag; 1979.
- Charnley J. The histology of loosening between acrylic cement and bone. J Bone Joint Surg Br 1975;57(2):245.
- Goldring SR, Schiller AL, Roelke M, Rourke CM, O’Neil DA, Harris WH. The sinovial-like membrane at the bone-cement interface in loose total hip replacements and proposed role in bone lysis. J Bone Joint Surg Am 1983;65(5):575-84.
- Sivash KM. The development of a total metal prosthesis for the hip joint from a partial joint replacement. Reconstr Surg Traumatol 1969;11:53-62.
- Fritsche A, Bialek K, Mittelmeier W, Simnacher M, Fethke K, Wree A, Bader R. Experimental investigations of the insertion and deformation behavior of press-fit and threaded acetabular cups for total hip replacement. J Orthop Sci 2008;13(3):240-7.
- Bobyn JD, Pilliar RM, Cameron HV, Weatherly GC. The optimum pore size for the fixation of porous-surfaced metal implants by the ingrowth of bone. Clin Orthop Relat Res 1980;150:263-70.
- Duffy GP, Berry DJ, Rowland C, Cabanela ME. Primary uncemented total hip arthroplasty in patients <40 years old: 10- to 14-year results using first-generation proximally porous-coated implants. J Arthroplasty 2001;16:140-4.
- Schwartsmann CR, Boschin LC, Gonçalves RZ, Yépez AK, Spinelli LF. New bearing surfaces in total hip replacement. Rev Bras Ortop 2012;47(2):154-9.
- Israel CL. Desenvolvimento de uma máquina para ensaios de desgaste em próteses totais de articulação de quadril. Porto Alegre. Tese [Doutorado em Engenharia Metalúrgica e de Materiais] – UFRGS; 2010.
- Morrey BF, Ilstrup D. Size of the femoral head and acetabular revision in total hip-replacement arthroplasty. J Bone Joint Surg Am 1989;71(1):50-5.
- Charnley J, Halley DK. Rate of wear in total hip replacement. Clin Orthop Relat Res 1975;112:170-9.
- Australian Orthopaedic Association National Joint Replacement Registry. Annual Report. Adelaide: AOA; 2014
- Garellick G, Kärrholm J, Lindahl H, Malchau H, Rogmark C, Rolfson O. Swedish Hip Arthroplasty Register. Annual Report 2013
- National Joint Registry for England, Wales and Northern Ireland. 11th Annual Report 2014. Surgical data to 31 December 2013.
- New Zealand Orthopaedic Association. The New Zealand Joint Registry. Fifteen Year Report. January 1999 to December 2013.
- Chana R, Facek M, Tilley S, Walter WK, Zicat B, Walter WL. Ceramic-on-ceramic bearings in young patients. Outcomes and activity levels at minimum ten-years follow-up. Bone Joint J 2013;95B:1603-9.
- Bartel DL, Burstein AH, Toda MD, Edwards DL. The effect of conformity and plastic thickness on contact stresses in metal-backed plastic implants. J Biomech Eng. 1985;107(3):193-9.
- Cooper HJ, Della Valle CJ. Large diameter femoral heads. Is bigger always better? Bone Joint J 2014;96-B(11 Suppl A):23-6.
- Boutin P, Christel P, Dorlot JM, Meunier A, de Roquancourt A, Blanquaert D, Herman S, Sedel L, Witvoet J. The use of dense alumina-alumina ceramic combination in total hip replacement. J Biomed Mater Res 1988;22(12):1203-32.
- Yoshitomi H, Shikata S, Ito H, Nakayama T, Nakamura T. Manufacturers affect clinical results of THA with zirconia heads: a systematic review. Clin Orthop Relat Res 2009;467(9):2349-55.
- Garbuz DS, Tanzer M, Greidanus NV, Masri BA, Duncan CP. Metal-on-metal hip resurfacing versus large-diameter head metal-on-metal total hip arthroplasty: a randomized clinical trial. Clin Orthop Relat Res 2010;468:318-25.
- Jacobsson SA, Djerf K, Wahlstrom O. A comparative study between McKee-Farrar and Charnley arthroplasty with long-term follow-up periods. J Arthroplasty 1990;5(1):9-14.
- Kothari M, Bartel DL, Brooker JF. Surface geometry of retrieved McKee-Farrar total hip replacements. Clin Orthop Relat Res 1996;329-Suppl:S141-7.
- Berry DJ, Harmsen WS, Cabanela ME, Morrey BF. Twenty-five-year survivorship of two thousand consecutive primary Charnley total hip replacements. J Bone Joint Surg Am 2002;84:171-7.
- Dorr LD, Faugere MC, Mackel AM, Gruen TA, Bognar B, Malluche HH. Structural and cellular assessment of bone quality of proximal femur. Bone 1993;3:231-42.
- Kwon YM, Thomas P, Summer B, Pandit H, Taylor A, Beard D, Murray DW, Gill HS. Lymphocyte proliferation responses in patients with pseudotumors following metal-on-metal hip resurfacing arthroplasty. J Orthop Res 2010;28:444-50.
- Glyn-Jones S, Pandit H, Kwon YM, Doll H, Gill HS, Murray DW. Risk factors for inflammatory pseudotumour formation following hip resurfacing. J Bone Joint Surg Br 2009;91:1566-74.
- Brodner W, Bitzan P, Meisinger V. Elevated serum cobalt with metal on metal articulating surfaces. J Bone Joint Surg 1997;79B:316-21.
- Chapman MW. Chapman`s orthopaedic surgery. 3rd ed. New York: Lippincott Williams & Wilkins; 2001.
- Wroblewski BM, Siney PD, Fleming PA. Charnley low-frictional torque arthroplasty: follow-up for 30 to 40 years. J Bone Joint Surg Br 2009;91(4):447-50.
- Wroblewski BM, Taylor GW, Siney P. Charnley low-friction arthroplasty: 19 to 25 year results. Orthopaedics 1992;15:421-4.
- Halley DK, Charnley J. Results of low friction arthroplasty in patients thirty years of age or younger. Clin Orthop Relat Res 1975;112:180-91.
- Buckwalter AE, Callaghan JJ, Liu SS, Pedersen DR, Goetz DD, Sullivan PM, Leinen JA, Johnston RC. Results of Charnley total hip arthroplasty with use of improved femoral cementing techniques, a concise follow-up, at minimum of twenty-five years, of a previous report. J Bone Joint Surg Am 2006;88(7):1481-5.
- Callaghan JJ, Templeton JE, Liu SS, Pedersen DR, Goetz DD, Sullivan PM, Johnston RC. Results of Charnley total hip arthroplasty at a minimum of thirty years. A concise follow-up of a previous report. J Bone Joint Surg Am 2004;86-A(4):690-5.
3
Continue a Leitura
Ortopedista Especialista em
Quadril em Porto Alegre
![]()
Estrutura Completa
![]()
Especialidades Ortopédicas
![]()
25 anos de atuação

Cirurgias do Quadril
Artroscopia de quadril
A artroscopia de quadril é um procedimento cirúrgico minimamente invasivo realizado através de pequenas incisões, utilizando-se um aparelho chamado artroscópio para visualizar o interior de uma articulação.
Prótese de quadril
O sucesso de uma artroplastia total de quadril depende de 3 fatores críticos: escolha do paciente, escolha do implante e a técnica cirúrgica.
Blog
Palestra no International Society of Hip Arthroscopy
Palestra no International Society of Hip Arthroscopy, 27 – 29 setembro de 2012. Boston/USA
Curso avançado de fratura de pelve e acetábulo em Mendoza, Argentina.
Prótese de quadril ou artroplastia de quadril – História
Embora os tratamentos das afecções do quadril datem de séculos atrás, a era moderna da...
especialista em quadril?



